Ein EEG-Monitor zeigt das Bild eines gescanntes Schädels, durch den Nervenbahnen verlaufen. Im Hintergrund sitzt ein Mann auf einem Arztstuhl. Er hat seinen Kopf leicht nach hinten an die Lehne geneigt und scheint seine Aufen geschlossen zu haben.

Krankheiten Kopf und Nerven

Das menschliche Nervensystem besteht aus unzähligen Nervenzellen und übernimmt viele Aufgaben: beispielsweise Steuerungsaufgaben innerhalb des Körpers und Kommunikationsaufgaben für den Kontakt zur Außenwelt. Erkrankungen des Nervensystems mit organischen Ursachen gehören in den Fachbereich der Neurologie. Auch Kopfschmerzarten wie Migräne können dazuzählen.

Kopf und Nerven

Person mit rötlichem, bläschenartigem Hautausschlag auf der linken Seite des Bauches. Person mit rötlichem, bläschenartigem Hautausschlag auf der linken Seite des Bauches.

Gürtelrose

Gürtelrose (Herpes zoster) ist eine schmerzhafte virale Hauterkrankung. Die Viren befallen Nerven und verursachen eine Entzündung, die auf die Haut übergreift.

Depression: Eine Frau liegt zusammengekauert in einem großen Bett. Depression: Eine Frau liegt zusammengekauert in einem großen Bett.

Depression

Depressive Menschen sind wochenlang niedergeschlagen, denken negativ, vernachlässigen Freunde und Familie. Der Alltag, die Arbeit und das Lernen fallen schwer.

Eine ältere Frau liegt mit Schlafstörungen im Bett, fasst sich an den Kopf und schaut an die Decke . Eine ältere Frau liegt mit Schlafstörungen im Bett, fasst sich an den Kopf und schaut an die Decke .

Schlafstörungen

Wer Schlafstörungen hat, ist oft müde und abgeschlagen, weil der Schlaf nicht erholsam genug war. Bis zu einem Drittel der Menschen haben Probleme beim Ein- oder Durchschlafen.

Nahaufnahme einer Zecke, die den FSME-Erreger übertragen kann Nahaufnahme einer Zecke, die den FSME-Erreger übertragen kann

Frühsommer-Meningoenzephalitis (FSME)

Die Frühsommer-Meningoenzephalitis (FSME) ist eine durch Viren verursachte Infektionskrankheit, die durch Zecken übertragen wird. Mit einer Impfung kann man sich gegen FSME schützen.

Eine Frau mittleren Alters sitzt im Rollstuhl und pflegt ihre Blumen mit einem Handgreifer. Eine Frau mittleren Alters sitzt im Rollstuhl und pflegt ihre Blumen mit einem Handgreifer.

Multiple Sklerose

Multiple Sklerose (MS) ist die häufigste neurologische Erkrankung bei jungen Erwachsenen. MS lässt sich bisher nicht heilen. Verschiedene Therapien helfen jedoch, ihr Fortschreiten zu bremsen.

Eine Frau fasst sich mit beiden Händen an die Schläfen Eine Frau fasst sich mit beiden Händen an die Schläfen

Migräne

Bei einem Migräne-Anfall treten auf nur einer Kopfseite starke Kopfschmerzen auf. Diese Schmerzen können von weiteren Beschwerden wie Übelkeit und Erbrechen begleitet werden.

Das Gesicht einer Frau spiegelt sich verkehrt in einer Vase. Das Gesicht einer Frau spiegelt sich verkehrt in einer Vase.

Schizophrenie

Bei einer Schizophrenie kommt es phasenweise zu einer veränderten Wahrnehmung. Das äußert sich zum Beispiel durch Wahnideen, Stimmen hören oder das Gefühl, beobachtet zu werden.

Bildschirm mit Bildern eines gescannten Schädels und Gehirns. Bildschirm mit Bildern eines gescannten Schädels und Gehirns.

Schlaganfall

Bei einem Schlaganfall wird ein Teil des Gehirns nicht mehr richtig durchblutet. Das kann lebensbedrohlich sein. Um schweren Folgen vorzubeugen, ist eine rasche Behandlung wichtig.

Eine Frau sitzt mit geschlossenen Augen an einer U-Bahn-Haltestelle. Eine Frau sitzt mit geschlossenen Augen an einer U-Bahn-Haltestelle.

Generalisierte Angststörung

Jeder Mensch hat manchmal Angst. Sie sorgt für Alarmbereitschaft und schnelle Reaktionen. Wer sich aber andauernd Sorgen macht, könnte eine generalisierte Angststörung haben.

Ein gepflegter älterer Herr fasst sich besorgt an die rechte Wange; sein Gesicht ist schmerzverzerrt. Ein gepflegter älterer Herr fasst sich besorgt an die rechte Wange; sein Gesicht ist schmerzverzerrt.

Trigeminusneuralgie

Menschen mit einer Trigeminusneuralgie haben heftige Gesichtsschmerzen, vor allem im Wangen- und Kieferbereich. Lesen Sie hier, wie diese entstehen und was dagegen hilft.

Gehirnerschütterung: Eine ältere Frau sitzt auf dem Wohnzimmerboden. Sie stützt sich mit einem Arm auf dem Boden ab, die andere Hand hält den Kopf. Sie wirkt benommen und ihr Blick geht zum Boden. Gehirnerschütterung: Eine ältere Frau sitzt auf dem Wohnzimmerboden. Sie stützt sich mit einem Arm auf dem Boden ab, die andere Hand hält den Kopf. Sie wirkt benommen und ihr Blick geht zum Boden.

Gehirnerschütterung bei Erwachsenen

Eine Gehirnerschütterung tritt häufig als Folge eines Unfalls auf. Sie ist die leichteste Form eines Schädel-Hirn-Traumas. Lesen Sie mehr über die Symptome und Behandlungsmöglichkeiten.

Alzheimer-Demenz: Ältere Frau mit Gehstock Alzheimer-Demenz: Ältere Frau mit Gehstock

Alzheimer-Demenz

Bei der Alzheimer-Demenz lassen Gedächtnis und Denkfähigkeit stark nach. Demenz ist nicht heilbar. Mit einer Behandlung lässt sich aber der Verlauf positiv beeinflussen.

Ein unbekleideter Unterschenkel und Fuß auf einem Bett Ein unbekleideter Unterschenkel und Fuß auf einem Bett

Restless-Legs-Syndrom

Menschen mit Restless-Legs-Syndrom (RLS) spüren einen starken Drang, die Beine zu bewegen. Das unangenehme Gefühl in den Beinen tritt nur in Ruhephasen auf – besonders abends und nachts.

Ein Arzt sieht sich Gehirnscans auf einem Monitor an. Ein Arzt sieht sich Gehirnscans auf einem Monitor an.

Gehirnentzündung (Enzephalitis)

Bei einer Enzephalitis ist das Gehirn entzündet. Das kann verschiedene Ursachen haben. Am häufigsten lösen Viren eine Gehirnentzündung aus.

Eine von Lepra gezeichnete Hand liegt auf dem Oberschenkel einer Person. Die Finger der Hand sind deformiert. Eine von Lepra gezeichnete Hand liegt auf dem Oberschenkel einer Person. Die Finger der Hand sind deformiert.

Lepra

Lepra ist eine bakterielle Infektionskrankheit, die vor allem in Südostasien, Südamerika sowie Afrika vorkommt. Obwohl Lepra heilbar ist, kommt es noch immer zu schweren Verläufen.

Ein Kind wird mit einer Spritze in den Oberarm geimpft. Ein Kind wird mit einer Spritze in den Oberarm geimpft.

Kinderlähmung (Polio)

Kinderlähmung, auch bekannt als Polio, kann zu bleibenden Lähmungen führen. Große Impfkampagnen haben Polioviren fast ausgerottet. Auch Erwachsene ohne Immunschutz können daran erkranken.

Ein Pfleger klebt einem Kind ein Pflaster auf den Oberarm. Ein Pfleger klebt einem Kind ein Pflaster auf den Oberarm.

Hirnhautentzündung (Meninigitis)

Bei einer Meningitis sind die Hirnhäute entzündet. Das kann viele Ursachen haben. Sind Bakterien die Auslöser, kann eine Hirnhautentzündung schnell lebensbedrohlich werden.

Eine schwangere Frau hält eine Katze auf dem Arm. Eine schwangere Frau hält eine Katze auf dem Arm.

Toxoplasmose

Viele Menschen sind mit Toxoplasmose infiziert, ohne es zu merken. Bei Gesunden treten meist keine Symptome auf. Stecken sich Frauen erstmals in der Schwangerschaft an, kann das dem Kind schaden.

Epilepsie: Eine Ärztin und ein Arzt begutachten das gescannte Bild eines Schädels und Gehirns auf einem Monitor. Epilepsie: Eine Ärztin und ein Arzt begutachten das gescannte Bild eines Schädels und Gehirns auf einem Monitor.

Epilepsie

Bei einer Epilepsie sind das Gehirn oder einzelne Hirnbereiche übermäßig aktiv. Medikamente können Anfällen vorbeugen und so eine gute Lebensqualität erhalten.

Kind lehnt an einer Fensterscheibe und guckt verträumt. Kind lehnt an einer Fensterscheibe und guckt verträumt.

Autismus

Autismus-Spektrum-Störungen sind Entwicklungsstörungen mit bestimmten Merkmalen: Menschen mit Autismus haben etwa Probleme in der Kommunikation mit anderen Menschen und im sozialen Miteinander.

Ein älterer Herr sitzt an einem Tisch und puzzelt. Ein älterer Herr sitzt an einem Tisch und puzzelt.

Vaskuläre Demenz

Die vaskuläre Demenz entsteht aufgrund von Durchblutungsstörungen. Dadurch wird das Gehirn unzureichend mit Sauerstoff versorgt und geschädigt, was zum Abbau geistiger Fähigkeiten führt.

Frisches Gemüse in Einweckgläsern. Frisches Gemüse in Einweckgläsern.

Botulismus

Botulismus ist eine seltene Vergiftung durch das bakterielle Botulinumtoxin. Häufige Vergiftungsquellen sind Konserven und Eingemachtes. Jeder Verdacht muss im Krankenhaus behandelt werden.

Buch und Teströhrchen mit der Aufschrift Tetanus. Buch und Teströhrchen mit der Aufschrift Tetanus.

Tetanus

Tetanus wird durch bestimmte Bakterien ausgelöst. Bereits eine kleine Wunde kann Eintrittspforte für die Erreger sein. Eine Impfung schützt.

Eine ältere Frau sitzt auf einem Bett und fasst sich mit einer Hand an die Stirn. Eine ältere Frau sitzt auf einem Bett und fasst sich mit einer Hand an die Stirn.

Gutartiger Lagerungsschwindel

Wenn sich um einen herum alles dreht, kann das an einem gutartigen Lagerungsschwindel liegen. Ablagerungen im Gleichgewichtsorgan des Ohrs sind die Ursache. Meist hört der Schwindel nach wenigen Woche

Straßenszene in Südamerika: Menschen füttern streunende Hunde. Straßenszene in Südamerika: Menschen füttern streunende Hunde.

Tollwut

Tollwut ist eine Viruserkrankung, die durch den Biss eines infizierten Tieres übertragen wird. Wer in Risikogebiete reist, kann sich vorab impfen lassen. Jeder Verdacht muss ärztlich abgeklärt werden.

Hirntumoren: Auf einem Monitor sind mehrere MRT Scans eines Gehirns zu sehen. Im Hintergrund liegt ein Mann in einer MRT-Röhre. Hirntumoren: Auf einem Monitor sind mehrere MRT Scans eines Gehirns zu sehen. Im Hintergrund liegt ein Mann in einer MRT-Röhre.

Hirntumoren

Es gibt verschiedene Formen von Hirntumoren. Erfahren Sie mehr zu den verschiedenen Formen, deren Behandlungsmöglichkeiten und bisher bekannten Risikofaktoren.

Parkinson: Eine Frau in einem weißen Kittel, offenbar eine Pflegerin, nimmt eine ältere Frau an beide Hände. Parkinson: Eine Frau in einem weißen Kittel, offenbar eine Pflegerin, nimmt eine ältere Frau an beide Hände.

Parkinson-Erkrankung

Die Parkinson-Erkrankung betrifft das Nervensystem und schränkt die Bewegungsfähigkeit immer mehr ein.

Eine Frau liegt erschöpft auf der Couch. Eine Frau liegt erschöpft auf der Couch.

Chronisches Fatigue-Syndrom

Das chronische Fatigue-Syndrom bezeichnet eine schwere Erschöpfung, die trotz Erholungspausen nicht besser wird. Es gibt kein spezielles Heilmittel, aber verschiedene Maßnahmen, die helfen können.

Person mit Gehilfe, unterstützt von einer medizinischen Fachkraft. Person mit Gehilfe, unterstützt von einer medizinischen Fachkraft.

Amyotrophe Lateralsklerose (ALS)

Bei der ALS sterben Nervenzellen ab, die die Muskeln steuern. Die Folge sind Muskelschwund, Muskelsteifigkeit und Lähmungen. Die Therapie zielt darauf, die Beschwerden bestmöglich zu lindern.

Ein Mann sitzt auf einer Bank und hält sich mit beiden Händen den Kopf. Ein Mann sitzt auf einer Bank und hält sich mit beiden Händen den Kopf.

Cluster-Kopfschmerzen

Cluster-Kopfschmerzen treten phasenweise auf. Dabei kommt es zu starken, immer einseitigen Schmerzen, meistens im Bereich der Schläfe oder des Auges.

Frau sitzt im Bett und fasst sich an den unteren Rücken. Frau sitzt im Bett und fasst sich an den unteren Rücken.

Fibromyalgie

Fibromyalgie ist eine chronische Schmerzerkrankung, bei der die Schmerzverarbeitung im Gehirn gestört ist. Was Menschen mit Fibromyalgie hilft, ist sehr unterschiedlich.

Eine ältere Frau fasst sich mit einer Hand an die Stirn. Eine ältere Frau fasst sich mit einer Hand an die Stirn.

Spannungskopfschmerzen

Als Spannungskopfschmerzen werden dumpfe, drückende Kopfschmerzen bezeichnet, die ab und zu auftreten. Sie lassen sich mit rezeptfreien Schmerzmitteln lindern.

Arzt prüft mit Nadel Schmerzempfinden am Fuß Arzt prüft mit Nadel Schmerzempfinden am Fuß

Polyneuropathie

Erkrankungen, bei denen mehrere Nerven außerhalb des Gehirns und Rückenmarks geschädigt sind, werden als Polyneuropathien bezeichnet. Die Ursachen und Beschwerden sind vielfältig.

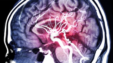
Menschliches Gehirn im Querschnitt: Blutgefäße und Hirnschlagader sind sichtbar. Menschliches Gehirn im Querschnitt: Blutgefäße und Hirnschlagader sind sichtbar.

Hirnaneurysma

Ein Hirnaneurysma ist eine Ausbuchtung einer Schlagader im Gehirn. Oft bleibt das unbemerkt und ohne Beschwerden. Reißt das Aneurysma, kommt es zu einer lebensbedrohlichen Hirnblutung.

Eine Frau fasst sich an die schmerzende linke Hand. Eine Frau fasst sich an die schmerzende linke Hand.

Diabetische Neuropathie

Bei der diabetischen Neuropathie kommt es zu Nervenschäden aufgrund dauerhaft erhöhter Blutzuckerwerte. Typisch sind Schmerzen und Taubheitsgefühle in Armen und Beinen.

Tisch mit Lebensmitteln. Tisch mit Lebensmitteln.

Vitamin-B-Mangel

Vitamin B umfasst eine Gruppe von acht Vitaminen; die wichtigsten sind B1, B6, B9 (Folat) und B12. Mit einer ausgewogenen Ernährung lässt sich einem Mangel vorbeugen.

Eine Frau fasst sich an die Kinnregion und schaut ernst in die Kamera. Ihre rechte Gesichtshälfte ist langgezogen, die Mundpartie ist schief. Eine Frau fasst sich an die Kinnregion und schaut ernst in die Kamera. Ihre rechte Gesichtshälfte ist langgezogen, die Mundpartie ist schief.

Gesichtslähmung (Fazialisparese)

Eine Fazialisparese ist eine meist einseitige Lähmung der Gesichtsmuskeln aufgrund einer Nervenschädigung. Lesen Sie hier mehr zu Ursachen, Symptomen, Diagnostik und Behandlung.

Eine Person sitzt mit heruntergelassenen Hosen und Hausschuhen an den Füßen auf der Toilette. Eine Person sitzt mit heruntergelassenen Hosen und Hausschuhen an den Füßen auf der Toilette.

Diabetes insipidus

Ein Diabetes insipidus führt zu übermäßigem Wasserlassen und heftigem Durst. Die Ursache dafür ist ein fehlendes oder unwirksames Hormon.

Eine Person mit Arztkittel und umgehängtem Stethoskop untersucht den Arm eines Patienten, indem sie Schulter und Ellbeuge fasst und augenscheinlich leicht bewegt. Eine Person mit Arztkittel und umgehängtem Stethoskop untersucht den Arm eines Patienten, indem sie Schulter und Ellbeuge fasst und augenscheinlich leicht bewegt.

Neuralgische Amyotrophie

Eine neuralgische Amyotrophie führt zu starken Schmerzen im Arm und in der Schulter. Der Grund dafür ist eine Entzündung bestimmter Nerven.

Eine Frau sitzt auf einer Bank, fasst sich an die Stirn. Eine Arzthelferin kniet vor ihr und fasst ihr mit der rechten Hand an die linke Schulter. Eine Frau sitzt auf einer Bank, fasst sich an die Stirn. Eine Arzthelferin kniet vor ihr und fasst ihr mit der rechten Hand an die linke Schulter.

Transitorische ischämische Attacke (TIA)

Eine transitorische ischämische Attacke geht oft Schlaganfällen voraus. Bei einer TIA wird ein Teil des Gehirns nicht mehr ausreichend durchblutet. Symptome sind Lähmungen, Seh- oder Sprachstörungen.